SwiftMR™ is an artificial intelligence solution that reduces magnetic resonance imaging time while improving patient comfort without loss of image quality. Thus, radiology centers increase their efficiency and revenue.


IMAGE QUALITY
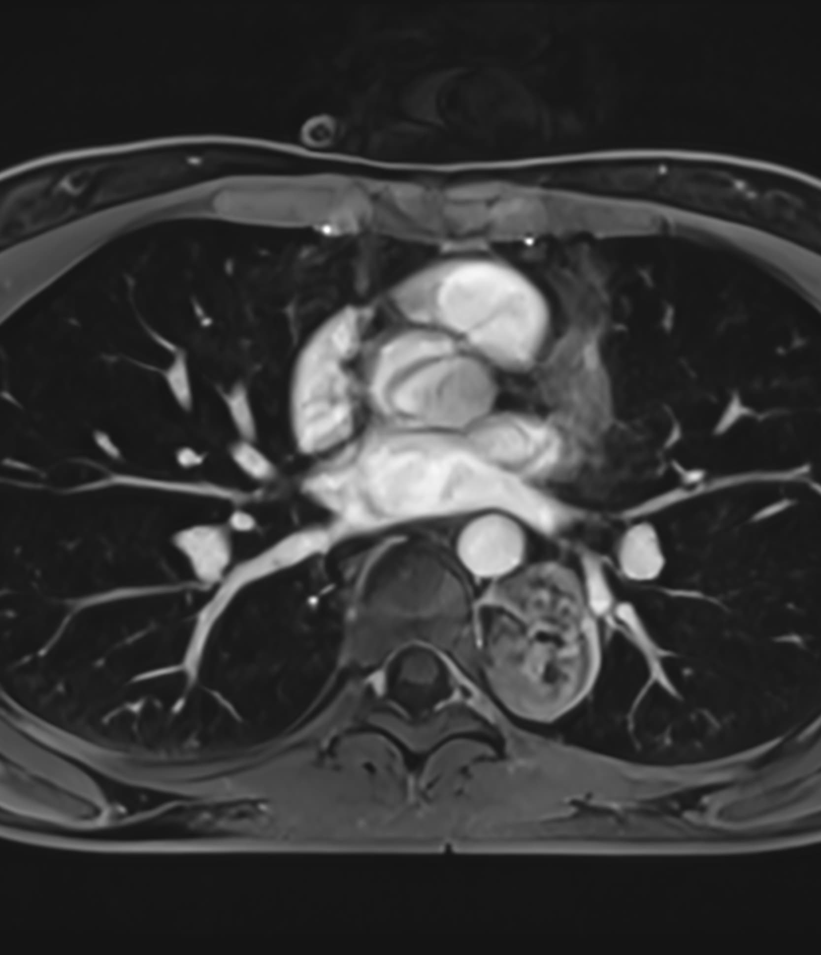
2:53
Conventional MRI
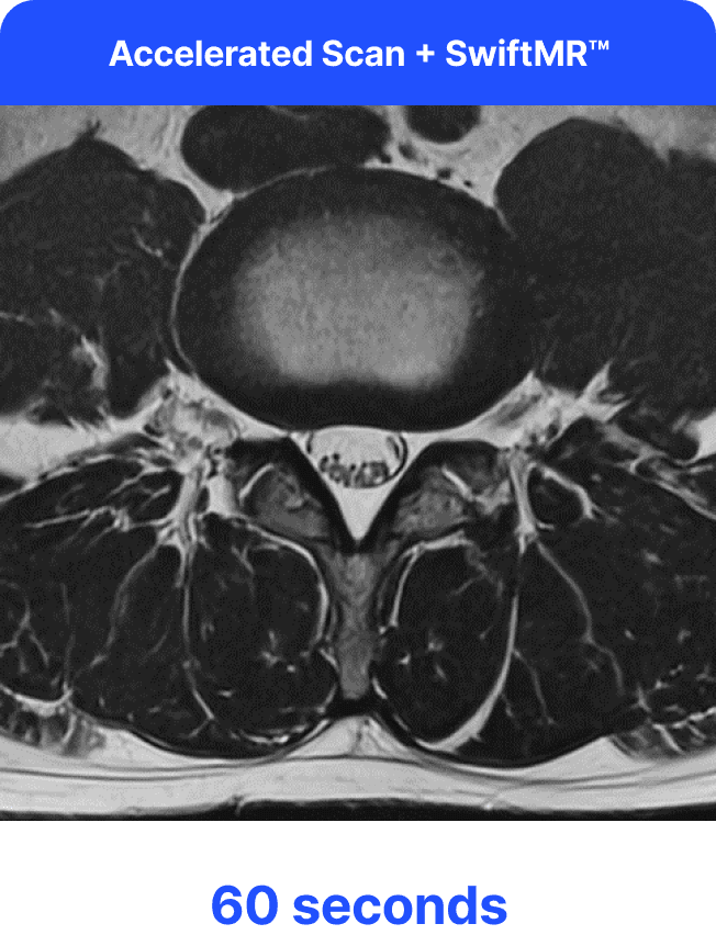
0:59
SwiftMR™

Accelerating Timely Diagnosis and Prevention with SwiftMR™
Magnetic Resonance Imaging (MRI) is a powerful diagnostic tool that offers many advantages, such as low radiation exposure, high sensitivity and specificity for disease detection. However, traditional MRIs are hindered by long scan times and high costs. SwiftMR™ solves these challenges, enabling more efficient and cost-effective MRI imaging. This makes MRI a more accessible and powerful option for timely disease screening and diagnosis. Empowering healthcare providers to identify potential health risks earlier, SwiftMR™ helps transform the healthcare paradigm from reactive to preventive, ultimately improving lives through preventive health and wellness.
Today, this mission is realized through SwiftMR™, which is currently used in more than 15 countries with over 140 million scans performed. By dramatically reducing MRI scan times, SwiftMR™ enhances the cost-effectiveness of MRI imaging. This enables more widespread use of MRIs for timely disease screening and diagnosis, shifting healthcare from a reactive model to a preventive, proactive one.







SwiftMR is a deep learning solution that enables MRI scan time reduction, enhancing patient comfort without sacrificing image quality. The solution enables radiology centers to achieve new levels of productivity and efficiency, as shorter scan times increases patient throughput — unlocking opportunities for revenue and growth.
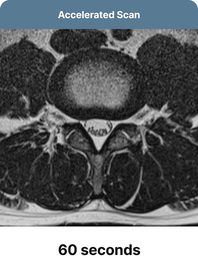
Our team will optimize MRI protocols to accelerate scans, initially producing faster yet low-quality images. SwiftMR's deep learning model is then employed to enhance the accelerated scans, effectively transforming them into high-quality images.











The workflow and tasks have remained the same for our MRI technicians, but the scan time reduction is so impactful they now find themselves ahead of schedule – they're waiting for patients instead of patients waiting for them.

Justin Kolakoski
MRI Technician at Naugatuck Valley Radiology
We're already seeing an average time-savings of roughly 35% for the five 3T sites, including a 20 minute time-savings for full body scans.

Daryl Eber, M.D.
Founder of 3T Radiology & Research
We see a noticeable improvement in image quality and less incidents of patient motion on the images. The time saving and improvement in image quality has brought our old MRI magnet back to life.

Timothy M. Cotter, M.D.
Radiologist, GK Medical Management
See real-world examples of SwiftMR™ across various MRI systems and anatomical regions



Scan time 03:14

Scan time 02:07



Scan time 03:08

Scan time 1:12



Scan time 04:53

Scan time 1:46