











Η KMS Medical προσφέρει ολοκληρωμένες λύσεις ιατροτεχνολογικού εξοπλισμού υψηλής τεχνολογίας. Από την εγκατάσταση και εκπαίδευση μέχρι τη διαρκή τεχνική υποστήριξη, είμαστε δίπλα σας σε κάθε βήμα.
Μάθετε Περισσότερα
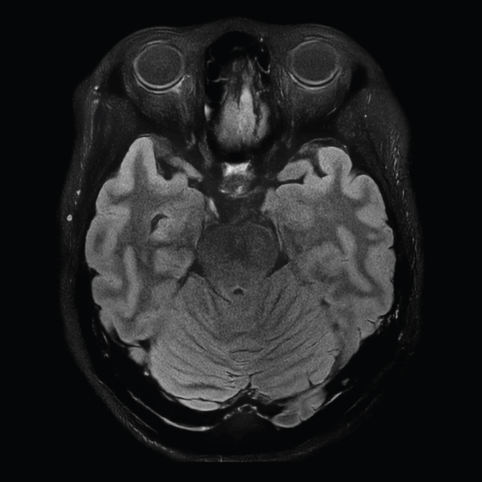
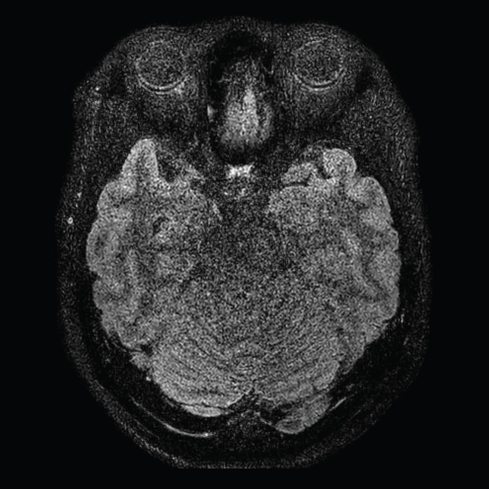
Το SwiftMR™ είναι μια λύση τεχνητής νοημοσύνης που μειώνει τον χρόνο μαγνητικής τομογραφίας βελτιώνοντας την άνεση του ασθενούς χωρίς απώλεια ποιότητας εικόνας. Έτσι, τα ακτινολογικά κέντρα αυξάνουν την αποδοτικότητα και τα έσοδά τους.


IMAGE QUALITY
2:53
Conventional MRI
0:59
SwiftMR™






Κορυφαία εταιρεία τεχνητής νοημοσύνης ιατρικής απεικόνισης που ειδικεύεται σε προηγμένες διαγνωστικές λύσεις και καινοτόμο τεχνολογία υγειονομικής περίθαλψης.
Από τη μελέτη και κατασκευή του χώρου μέχρι την προμήθεια, εγκατάσταση και εκπαίδευση. Εξυπηρετούμε ιδιωτικά ιατρεία, νοσοκομεία, κλινικές και διαγνωστικά κέντρα σε όλη την Ελλάδα.
Πλήρης συντήρηση και επισκευή με ευέλικτα συμβόλαια. HelpDesk 08:00-17:00 για άμεση υποστήριξη.
Χρόνια εμπειρίας στην ιατρική απεικόνιση
Εξειδικευμένοι μηχανικοί για την πλήρη εκπαίδευση του ιατρικού και νοσηλευτικού προσωπικού στη βέλτιστη χρήση του εξοπλισμού.
Χρόνος ανταπόκρισης στην Αττική Εντός 24h σε όλη την Ελλάδα
Ηλεκτρομηχανολογικές μελέτες, ακτινοφυσική και πλήρης επίβλεψη κατασκευής έργων.